The Daily Insight
news /

Does pancreatitis show up on ultrasound?

Endoscopic Ultrasound

The ultrasound probe uses sound waves to produce images of the body that appear on a computer monitor. Your doctor can detect gallstones or signs of chronic pancreatitis, such as damage to the pancreatic tissue, with this test.

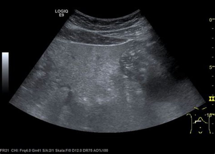
How does pancreatitis appear on ultrasound?

Sonographic findings of acute pancreatitis can be subtle and can include changes in pancreatic echogenicity, glandular enlargement, pancreatic duct dilation, and peripancreatic fluid [11]. Enlargement of the pancreas as well as hypoechoic or heterogeneous echotexture [8] is caused by associated interstitial edema (Fig.

How do they check for pancreatitis?

Lab tests to help diagnose pancreatitis include the following:

  1. Blood tests. ...
  2. Stool tests. ...
  3. Ultrasound. ...
  4. Computed tomography (CT) scan. ...
  5. Magnetic resonance cholangiopancreatography (MRCP). ...
  6. Endoscopic ultrasound (EUS link). ...
  7. Pancreatic Function Test (PFT).

What are the early warning signs of pancreatitis?

Acute pancreatitis signs and symptoms include:

  • Upper abdominal pain.
  • Abdominal pain that radiates to your back.
  • Tenderness when touching the abdomen.
  • Fever.
  • Rapid pulse.
  • Nausea.
  • Vomiting.

What can mimic pancreatitis?

A couple of acute abdominal conditions that can mimic pancreatitis include:

  • impacted gallstones (biliary colic)
  • gastric perforation or duodenal ulcer.

How to diagnose pancreatitis with the help of ultrasound

What are the signs of pancreas problems?

What are the symptoms of pancreatitis?

  • Severe belly pain that may spread to your back or chest (it may feel worse after you eat)
  • Nausea.
  • Vomiting.
  • Rapid heart rate.
  • Fever.
  • Swelling and feeling sore or tender in your upper belly.
  • Fluid buildup in your belly.
  • Lowered blood pressure.

What can be diagnosed with an abdominal ultrasound?

Providers use abdominal ultrasound tests to detect:

  • Bladder stones.
  • Enlarged spleen.
  • Gallstones.
  • Cholecystitis (gallbladder inflammation).
  • Pancreatitis (inflamed pancreas).
  • Cancer, such as stomach cancer or pancreatic cancer.
  • Fatty liver disease.
  • Abdominal aortic aneurysm (a bulge in the aorta wall in your midsection).

What does an ultrasound not show?

Ultrasound cannot tell whether a tumor is cancer. Its use is also limited in some parts of the body because the sound waves can't go through air (such as in the lungs) or through bone.

Can you see gastritis on ultrasound?

Sonography can be used effectively to evaluate the stomach and duodenum. A mucosal thickness greater than 4 mm in the gastric antrum may suggest the presence of gastritis.

Can ultrasound detect intestinal problems?

Over the past few years, thanks to technological progress in ultrasonography, followed by increasing experience of physicians, intestinal ultrasound has become an important diagnostic tool in the detection of bowel diseases.

How does pancreatitis feel?

The most common symptoms of acute pancreatitis include: suddenly getting severe pain in the centre of your tummy (abdomen) feeling or being sick. a high temperature of 38C or more (fever)

Where does your back hurt with pancreatitis?

Acute pancreatitis

The main symptom of pancreatitis is pain in your upper abdomen that may spread to your back.

Is pancreatitis pain on left or right?

The main symptom of pancreatitis is pain felt in the upper left side or middle of the abdomen. The pain: May be worse within minutes after eating or drinking at first, more commonly if foods have a high fat content. Becomes constant and more severe, lasting for several days.

Does pancreatitis hurt when you move?

The most common symptom of chronic pancreatitis is repeated episodes of severe pain in your tummy (abdomen). The pain usually develops in the middle or left side of your tummy and can move along your back.

Does pancreatitis cause gas?

Gas Is a Very Common Symptom of Pancreatitis

But flatulence that's accompanied by swelling in the abdomen, fever, nausea, and vomiting is not. These symptoms can be warning signs of pancreatitis — inflammation of the pancreas, which assists in the digestive process. Gas is a very common symptom of pancreatitis.

Can a full blood count detect pancreatitis?

Other tests that may be used to check for complications of acute pancreatitis include: Full Blood Count (including white blood cell count) Glucose. The full blood count, electrolytes, and liver function tests are typically normal in chronic pancreatitis.

Can IBS be mistaken for pancreatitis?

Pancreatitis and IBS are often mistaken for one another, or they can occur concurrently, so talk to a GI specialist to get to the bottom of your digestive issues.

Where do you feel pancreas pain?

Where Is the Pain of Pancreatitis Felt? The most common symptom of both acute and chronic pancreatitis is pain in the upper abdominal area, usually under the ribs. This pain: May be mild at first and get worse after eating or drinking.

How do you fix pancreatitis?

Mild acute pancreatitis usually goes away in a few days with rest and treatment. If your pancreatitis is more severe, your treatment may also include: Surgery. Your doctor may recommend surgery to remove the gallbladder, called cholecystectomy, if gallstones cause your pancreatitis.

What causes pancreatitis to flare up?

Excessive alcohol intake causes up to 70% of chronic pancreatitis cases, and nearly half of acute pancreatitis, so it makes sense to stop drinking alcohol. Smoking. It can make your outcomes worse, make the disease (chronic pancreatitis) progress faster and increase your risk of pancreatic cancer. Poor diet.

Can a pancreas heal itself?

Chronic pancreatitis destroys pancreas function, and requires medical management. Chronic pancreatitis cannot heal itself, but good medical management can slow down the rate of decline of pancreatic function, while improving the individual's quality of life and preventing further problems arising.

Can abdominal ultrasound show inflammation?

This type of ultrasound can detect changes in blood flow through the abdomen. Because the abdomen contains many important body parts, several problems can occur there. Such problems could range from inflammation to abnormal hormonal responses, and they can sometimes indicate the presence of another condition.

What does red mean on an abdominal ultrasound?

By definition, flow towards the transducer is depicted in red while flow away from the transducer is shown in blue. Different shades of red and blue are used to display velocity. Lighter shades of color are assigned to higher velocities.

Is abdominal ultrasound accurate?

Considering senior revision, accuracy of abdominal US was 88.6 % (95 % CI 79.4-92.4 %) with a sensitivity of 95.5 % (95 % CI 86.3–99.2 %) and a specificity of 81.8 % (95 % CI 72.6–85.5 %).