The Daily Insight
general /

How can you tell the difference between a brain tumor and a headache?

However, brain tumors cause a specific type of headache

type of headache

Tension headache, also known as stress headache, or tension-type headache (TTH), is the most common type of primary headache. The pain can radiate from the lower back of the head, the neck, eyes or other muscle groups in the body typically affecting both sides of the head.

› wiki › Tension_headache

that is different than migraine or tension-type headaches. Headaches due to a brain tumor have the following characteristics: unusually severe or persistent, especially in people with no history of severe or chronic headaches. more painful or intense in the ...

How do you know if a headache is a brain tumor?

Every patient's pain experience is unique, but headaches associated with brain tumors tend to be constant and are worse at night or in the early morning. They are often described as dull, "pressure-type" headaches, though some patients also experience sharp or "stabbing" pain.

Where are brain tumor headaches felt?

Headaches due to a brain tumor are often worse in the morning and may get better throughout the day. They may cause pain all over or pain that's worse on one side of the head. Additional symptoms, like vomiting, are usually present.

What is usually the first symptom of a brain tumor?

Headaches that gradually become more frequent and more severe. Unexplained nausea or vomiting. Vision problems, such as blurred vision, double vision or loss of peripheral vision. Gradual loss of sensation or movement in an arm or a leg.

Can you have a brain tumor with just headaches?

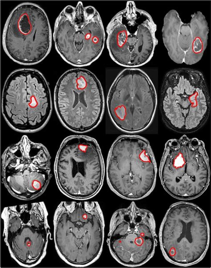
It is almost impossible to diagnose a brain tumor based upon headaches alone. Typically, another symptom, like vision changes, is the trigger for a person to see a physician and to result in the necessary diagnostic testing. An MRI is often the first diagnostic tool to determine if a brain tumor is present.

Difference between Migraine Headache and Brain Tumors Headaches? | Brain Tumor Treatment

What does a headache from a tumor feel like?

For most individuals, a brain tumor headache is localized to a specific area and is typically worse in the early morning or at night. They can be dull, pressure-like headaches that are made worse by coughing or sneezing. Over time, these headaches stop responding to over-the-counter medication.

How do I know if my headache is serious?

Your headache pain may be serious if you have:

  1. sudden, very intense headache pain (thunderclap headache)
  2. severe or sharp headache pain for the first time.
  3. a stiff neck and fever.
  4. a fever higher than 102 to 104°F.
  5. nausea and vomiting.
  6. a nosebleed.
  7. fainting.
  8. dizziness or loss of balance.

What can be mistaken for a brain tumor?

Brain tumors can be malignant, or cancerous, or benign, noncancerous.
...
Brain tumor misdiagnosis can commonly be diagnosed as these diseases:

  • Alzheimer's disease.
  • Encephalitis.
  • Headaches or migraines.
  • Meningitis.
  • Lyme disease.
  • Multiple Sclerosis.
  • Subdural hematoma.

How long does a brain tumor headache last?

They tend to last from 4 – 72 hours. People who get migraines, or other recurrent headaches, often worry that they may have a brain tumour.

Where are brain tumors usually located?

Their most common locations are the base of the skull and the lower portion of the spine. Although these tumors are benign, they may invade the adjacent bone and put pressure on nearby neural tissue.

Can blood test detect brain tumor?

Blood tests are not used to diagnose brain or spinal cord tumours. However, they are routinely done to provide a baseline before any planned treatment. They can provide helpful information about your general health, how other organs are functioning, other medical conditions and the possible risks of treatment.

When should you go to the ER for a headache?

Seek emergency care if:

The headache is accompanied by high fever, confusion, stiff neck, prolonged vomiting, slurred speech or numbness or weakness, especially on one side of the body. Headache medication does not relieve chronic or excruciating pain.

Can brain tumor symptoms come on suddenly?

Signs and symptoms of brain or spinal cord tumors may develop gradually and become worse over time, or they can happen suddenly, such as with a seizure.

What part of your head hurts with COVID?

It is presenting mostly as a whole-head, severe-pressure pain. It's different than migraine, which by definition is unilateral throbbing with sensitivity to light or sound, or nausea. COVID headaches present more as a whole-head pressure.

Where is an aneurysm headache located?

It's rare, but an aneurysm that is large or growing can push on nerves or tissue and cause migraine-like symptoms, including: Headaches. Pain above or behind the eyes. Numbness, usually in your face.

How do you know when something is wrong with your brain?

Loss of side vision. Balance or coordination problems. Twitching muscles or muscle spasms. Numbness or weakness in an arm or leg or one side of the body.

Can you have a brain tumor for years without knowing?

Because different areas of the brain control different functions of the body, where the tumor lies affects the symptoms you get. Some tumors have no symptoms until they're large and then cause a serious, rapid decline in health. Other tumors may have symptoms that develop slowly.

How long is too long for a headache?

By definition, chronic daily headaches occur 15 days or more a month, for longer than three months. True (primary) chronic daily headaches aren't caused by another condition. There are short-lasting and long-lasting chronic daily headaches. Long-lasting headaches last more than four hours.

Why do I have headache everyday?

Certain environmental factors are common triggers, such as sleep disruption, dehydration, skipped meals, some foods, hormone fluctuations and exposure to chemicals. “The goal is to treat migraine symptoms right away and to prevent symptoms by avoiding or changing triggers,” Dr. Jackson says.

Is it normal to have headaches everyday?

Your doctor may need to run tests to make sure these headaches aren't secondary — that is, a symptom of a serious underlying condition. Although daily headaches might not be the result of a dangerous problem, they can affect your quality of life and shouldn't be considered “normal.”

How do you tell if you have a brain tumor or just paranoid?

Some symptoms can be quite general. These include headaches, vision problems, and mood changes. Seizures and personality changes can also signal the presence of a brain tumor. If a person notices any early symptoms of a brain tumor, they should speak to their doctor for a thorough diagnosis.

Can an eye test show a brain tumour?

A regular, routine eye test can sometimes detect eye problems that indicate the presence of a brain tumour before any symptoms become obvious. An eye test is particularly good at identifying any swelling of the optic disc (a condition called papilloedema) and can also identify when there is pressure on the optic nerve.

Can an eye exam detect a brain tumor?

Your eye exam could help to detect if you have a brain tumor. If you have a brain tumor, your eye doctor may notice that you have blurry vision, one eye dilated more than the other or one remains fixed, and they may detect changes to optic nerve color or shape.

What does it mean when you have had a headache for 3 days?

Migraine Headaches

They can last from 4 hours to 3 days and usually happen one to four times a month. Along with the pain, people have other symptoms, such as sensitivity to light, noise, or smells; nausea or vomiting; loss of appetite; and upset stomach or belly pain.

Does aneurysm headache go away?

A brain aneurysm that is leaking or has burst open is life-threatening. It requires emergency medical treatment. People with a ruptured brain aneurysm often say the headache is the worst headache of their lives. The severe headache comes on suddenly and lasts for hours to days.