The Daily Insight
updates /

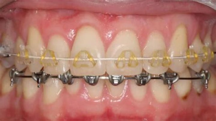
What are fast braces?

Unlike traditional square brackets, Fastbraces™ technology combines the elbow shaped brackets with an elevated slot in order to improve the flexibility of the wire. These mechanics allow for extra tipping and torqueing so that the root is affected throughout the entire treatment , right from the beginning.

Are fast braces better?

Fastbraces® are fast becoming popular. It is a brand name for a teeth straightener that is more effective than traditional braces. As compared to conventional braces, it is used for a shorter period, causes less discomfort, has less risk, and at the same time, it is affordable and safe.

What's the difference between fast braces and regular braces?

When compared to traditional braces, the difference is dramatic. In general, traditional braces take anywhere from one to two years to achieve your end results. FastBraces are designed to simultaneously move the entire tooth, from root to crown, rather than using two separate treatment phases.

Are fast braces painful?

This impressively short treatment time has many patients asking if Fastbraces® hurt more than normal braces. Studies have found that Fastbraces actually cause less discomfort than traditional braces. That's because the non-conventional bracket design exerts less force due to friction.

What to expect with fast braces?

The braces are made to be lighter and more flexible than the typical traditional ones. Besides that, Fastbraces works in a gentle and simultaneous movement of the root and crown of your tooth. The result of this is less friction, pain, and discomfort, as would be the case with traditional braces.

Fastbraces® Technology: What are the technical differences between Fastbraces® and old-style braces

Do you need a retainer after Fastbraces?

Yes, patients will need to wear a retainer after completing the teeth straightening process with Fastbraces. The retainer will be worn for only 15 to 20 minutes every day, while some may choose to put them on before bedtime.

How long do fast braces take to work?

Fastbraces™ technology moves both the crown and the root at the same time, which makes it possible for treatment to be completed in as little as one year, and in some cases just a few months.

Are Fastbraces more expensive?

Fastbraces cost less than slower, traditional and invisible braces. The average cost of traditional braces in this area of the country is about $5,000. Invisible braces tend to cost even more. Fastbraces usually run about $4,000.

Are Fastbraces safe?

Fastbraces is supported by studies: Fastbraces is a safe and effective way to straighten teeth in less time. The Fastbraces Technology bracket system is backed by over 25 years of research and development. You can trust this orthodontic treatment.

Do fast braces fix overbite?

Fastbraces can fix many dental issues, including: Overbites and underbites. Cross bites or open bites. Generally crooked teeth.

Can you move teeth too fast?

What Happens if Teeth Move Too Fast? If teeth are moved too quickly or with excessive force, this can trigger an irreversible condition known as root resorption. This condition is marked by the roots of the teeth becoming shorter.

Do traditional braces hurt?

The honest answer is that braces do not hurt at all when they are applied to the teeth, so there is no reason to be anxious about the placement appointment. There will be mild soreness or discomfort after the orthodontic wire is engaged into the newly placed brackets, which may last for a few days to a week.

Do fast braces come in clear?

And now, Fastbraces® comes with a clear option! Fastbraces® Clear™ ceramic brackets are also available and offer the same technology advantages of moving teeth as the Fastbraces® metal brackets. To discuss your treatment options, call our office today to schedule a consultation!

What is the shortest you can have braces?

The minimum time to wear braces can be as little as several months to fix a basic crooked tooth or spacing issue through to 36 months for both metal braces and ceramic braces.

Who invented Fastbraces?

Anthony D. Viazis is the American orthodontist in Dallas, Texas who invented and patented the original bracket system behind FASTBRACES® Technologies.

Are fast braces better than Invisalign?

Generally, Invisalign is recommended for mild to moderate misalignments. It is not always an effective option for more complex or severe issues, especially when the jaw is also misaligned. In contrast, FastBraces can provide efficient results even for moderate to severe misalignment.

How long do fast braces hurt?

The pressure of the braces slowly pulling the teeth into position can create discomfort and pain, which could last from a day or two to about a week.

Are fast braces the same as Invisalign?

Invisalign tends to be more expensive due to the invisibility and removability that it provides. For maintenance, Invisalign generally involves only brushing and rinsing of the trays. FastBraces may require much more maintenance, despite their more rapid teeth-fixing rate.

How often are fast braces tightened?

Your orthodontist will usually fix a check-up appointment every 4-6 weeks since that is the average time needed to tighten braces. Although here are some signs that indicate when you need braces tightening. Absence of pain from your teeth and your gums at all.

Do braces weaken the teeth?

Perhaps one of the most common questions regarding braces is whether or not they cause weakening of the enamel. The truth is that braces make the teeth move within the gums in the mouth during the whole treatment process. While they move, it does not mean they will lose or deteriorate in tooth support.

Can I get fast braces?

This new method is known as 'Accelerated Braces', or simply 'Fast Braces', and has become well-known for its speedy treatment timeline and excellent results in straightening teeth for a wide variety of patients.

How fast do braces move teeth?

In general, you can expect to see some noticeable movement from around two months into the treatment. Some people notice it much sooner, and it could be as little as four weeks after you start wearing your aligners.

How do you take care of braces fast?

Caring for Fastbraces

  1. Good oral hygiene is important. The teeth are more difficult to clean because of the brackets and wires fixed to them. ...
  2. Avoid soda and sticky foods. It is advisable to avoid sodas and other fizzy beverages. ...
  3. Avoid biting on hard foods or objects. ...
  4. Get mouthguards.

Which braces work the fastest?

Currently, clear aligners offer the fastest correction speed. For reference, Invisalign treatments can be finished in several months, whereas metal braces can take several years. It's not just clear aligners that offer speed. Another form of fast-correcting braces is self-ligating braces.

How much do power chain braces cost?

The amount of coverage will depend on your provider and on the cost of the services that your orthodontist says that you need. Braces for children typically start around $5,000 if you have to pay for them out-of-pocket, according to the American Academy of Orthodontists.