The Daily Insight
news /

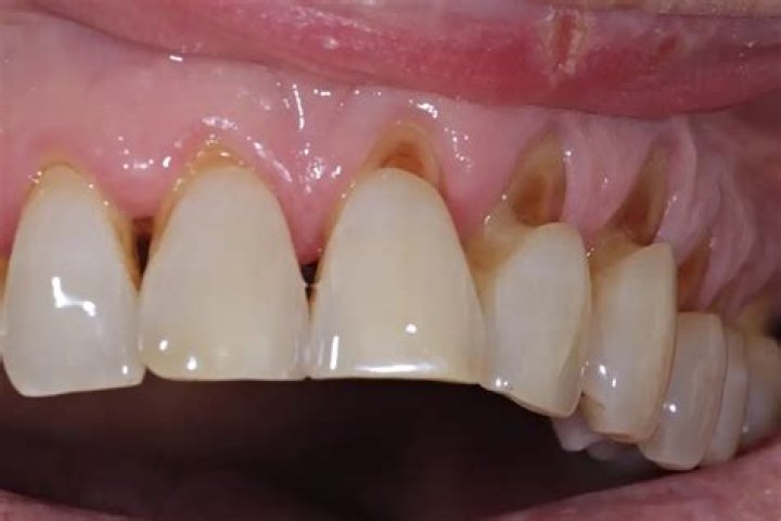
What is trench mouth?

Trench mouth is an infection that causes swelling (inflammation) and ulcers in the gums (gingivae). The term trench mouth comes from World War I, when this infection was common among soldiers "in the trenches." The appearance of normal teeth varies, especially the molars.

How do you get rid of trench mouth?

How is trench mouth treated?

  1. Removal (debridement) of dead tissue from affected areas using an ultrasonic instrument or chemical agents.
  2. Use of oral antibiotics if the patient has a weak immune system, fever or swollen glands.
  3. Use of pain killers.

How do I know if I have trench mouth?

There Are Many Signs Of Trench Mouth

The most notable signs of this condition are painful, irritated gums, bad breath, and ulcers in your mouth that have a gray film over them. You may also experience a fever, swollen glands in your neck, or a metallic taste in your mouth.

Is trench mouth contagious?

Is trench mouth contagious? As with most infections, acute necrotizing ulcerative gingivitis is not contagious. Symptoms can resemble other contagious oral conditions, but trench mouth is not able to be transmitted to another person in any way.

What is another name for trench mouth?

Acute Necrotizing Ulcerative Gingivitis (ANUG), more commonly known as “trench mouth” for its common occurrence among soldiers in the trenches during World War I, is a painful gum disease caused by the gram negative bacteria known as spirochetes.

What is Trench Mouth? - Ogden Dentist

How did I get trench mouth?

Trench mouth occurs when there is too much pathologic bacteria. The gums become infected and develop painful ulcers. Viruses may be involved in allowing the bacteria to grow too much.

How do you know if your mouth is infected?

Signs of an infection in the mouth include:

  1. Bad breath.
  2. Bitter taste in the mouth.
  3. Fever.
  4. Pain.
  5. Sensitivity of the teeth to hot or cold.
  6. Swelling of the gum.
  7. Swollen glands of the neck.
  8. Swelling in the jaw.

What is Covid tongue?

What are COVID tongue symptoms? In that same British study by the British Journal of Dermatology, the following symptoms were noted: Lingual papillitis (inflammation of the small bumps on the tongue's surface) Glossitis with indentations (swollen or inflamed tongue) Aphthous ulcers (mouth ulcers)

How do I know if I have a bacterial infection in my mouth?

For bacterial mouth infections, including periodontitis, look out for symptoms including:

  1. Bad breath.
  2. Bitter taste.
  3. Persistent pain.
  4. Sensitive or loose teeth.
  5. Swollen and inflamed gums, neck glands or jaw.
  6. Receding gums or new spaces between your teeth.
  7. Headache.
  8. Fever.

Which antibiotic is best for mouth infection?

Antibiotics of the penicillin class, such as penicillin and amoxicillin, are most commonly used to help treat tooth infections. An antibiotic called metronidazole may be given for some types of bacterial infections.

How do I get rid of a bacterial infection in my mouth?

How To Get Rid Of Bad Bacteria In The Mouth: 6 Ways To Inactivate The Harmful Bugs

  1. Brush Your Teeth. May be it goes without saying, maybe it doesn't – but Brush Your Teeth! ...
  2. Swish With A Peroxide Or Alcohol Containing Mouthwash. ...
  3. Floss Between Your Teeth. ...
  4. Brush Your Tongue. ...
  5. Drink Water. ...
  6. Take A Probiotic. ...
  7. Eat Fibrous Food.

How do I fight an infection in my mouth?

Hydrogen peroxide can be an effective disinfectant, including in the mouth. To help relieve a bacterial infection in your gums or mouth, make a mixture of equal parts 3% hydrogen peroxide and water. Swish the solution in your mouth for about a minute, then spit it out, being careful not to swallow the mixture.

What is the natural remedy for mouth infection?

Saltwater rinse

One of the easiest things that you can do to help lessen the pain of a tooth infection and try to stop the spread of an infection is to rinse your mouth with a warm saltwater solution. A saltwater rinse will kill off some of the bacteria in your mouth and irrigate your mouth.

Is salt water good for gum infection?

Salt water can help to remove the plaque and bacteria from your teeth and gums. Salt has healing properties that can treat and heal inflamed or swollen gums caused by gum disease. Even though salt water is extremely effective in helping to treat gum disease, salt water cannot cure gum disease.

Does baking soda help gum infection?

Many people who suffer from swollen gums use baking soda as a home remedy to treat it. Being an antiseptic and antibacterial, baking soda treats the infection causing the swelling. It also reduces the inflammation of your gums and soothes the tender skin.

Can you rinse mouth with peroxide?

Gargling hydrogen peroxide may be an effective way to sooth a sore throat, disinfect your mouth, and whiten your teeth. Just make sure you dilute it first, and try not to swallow any in the process. If you're hoping to whiten your teeth, try to gargle consistently for several months for the best results.

What is a natural antibiotic?

Ginger. The scientific community also recognizes ginger as a natural antibiotic. Several studies, including one published in 2017 , have demonstrated ginger's ability to fight many strains of bacteria. Researchers are also exploring ginger's power to combat seasickness and nausea and to lower blood sugar levels.

What causes a bacterial infection in the mouth?

Understanding mouth infections

Mouth infections are usually the result of tooth decay making its way into the pulp chamber of a tooth. Once this occurs, the pulp and the nerves inside become exposed to bacteria, food particles and other debris in the mouth. This usually ends up causing an infection.

Can hydrogen peroxide get rid of a tooth infection?

Hydrogen peroxide rinse: Peroxide is an antimicrobial and it can help treat any existing infection. To make a peroxide rinse mix three parts hydrogen peroxide with warm water and rinse your mouth with it.

Which toothpaste kills the most bacteria?

Washington, DC: Toothpaste with triclosan/copolymer is better than regular fluoride toothpastes at killing the kinds of bacteria that live in people's mouths, according to a study. The human mouth is home to an estimated 800 to 1,000 different kinds of bacteria.

Is it better to gargle with salt water or peroxide?

The fact that dental professionals choose peroxide over saltwater should tell you one thing: saltwater gargles are fine in a pinch, but hydrogen peroxide rinses are actually preferable. Peroxide rinses mix water with 3% hydrogen peroxide to help clean, brighten, and prevent gum damage.

What is the safest mouthwash to use?

  1. hello Naturally Healthy Anti-Gingivitis Mouthwash. ...
  2. Tom's of Maine Wicked Fresh Mouthwash. ...
  3. Tom's of Maine Whole Care Anticavity Mouthwash. ...
  4. hello Kids Wild Strawberry Anticavity Mouthwash. ...
  5. hello Naturally Fresh Antiseptic Mouthwash. ...
  6. hello Fresh Spearmint Moisturizing Mouthwash.

What doctor should I see for mouth problems?

For most issues with oral health a dentist is the answer. And, even if your dentist can't deal with the problem, like oral cancer, they will be able to guide you to the specialist you need to see. But at the end of the day, the most important person for keeping you mouth healthy is you.

How long does a mouth infection last?

Hand, foot, and mouth disease is contagious but usually not serious. It usually resolves in 7 to 10 days , according to the CDC.

What foods clean your tongue?

Drink plenty of water: Enough water helps keeping your tongue clean and gets rid of extra food particles. Eat crunchy fruits that cleanse the tongue naturally: Apples and guava are good examples of this. Eat raw vegetables: Raw vegetables, such as spinach, tomatoes, lettuce and peppers.